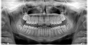
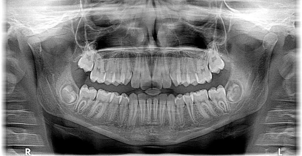
Anledningar att söka akuttandvård
En bilmotor bygger på exakt timing. Ventiler och kolvar rör sig i millisekunder, och allt hålls synk...
04 mars 2026
En lyckad möhippa handlar om mer än spexiga uppdrag och utklädnader. Många som planerar en möhippa s...
04 mars 2026
Att hitta rätt kontor i Malmö handlar om mer än kvadratmeter och hyresnivå. Företag som letar efter ...
04 mars 2026
Att skicka blommor är ett enkelt sätt att visa omtanke, fira stora stunder och sätta guldkant på var...
04 mars 2026
Att tjäna pengar till laget med toalettpapper är ett enkelt och effektivt sätt att st...
04 mars 2026
Att skicka blommor är ett enkelt sätt att visa omtanke, även när avståndet är stort eller tiden är k...
03 mars 2026