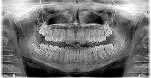
Anledningar att söka akuttandvård
Speglar används inte bara för att se sin spegelbild. De påverkar hur ett rum upplevs, hur ljus rör s...
06 maj 2026
Att välja rätt redovisningsbyrå Huddinge kan vara avgörande för hur ett f&...
04 maj 2026
Camping lockar många som vill komma närmare naturen, resa flexibelt och skapa minnen utan att det ko...
04 maj 2026
Många som äger träd i Malmö upplever samma sak: träden är vackra och värdefulla, men också svåra att...
04 maj 2026
medicintekniska produkter finns överallt i vården, men också i vardagen. Blodsockermätare, implantat...
04 maj 2026
I dagens dynamiska färgmarknad finns det få namn som inspirerar och fångar fantasin...
03 maj 2026